9024868258
dr.heenakm@gmail.com
MEHTA CLINIC, Meeranangar, Shobhagpura
Home
About Us
About Us
Appointment
Dental Services
Root Canal Treatment
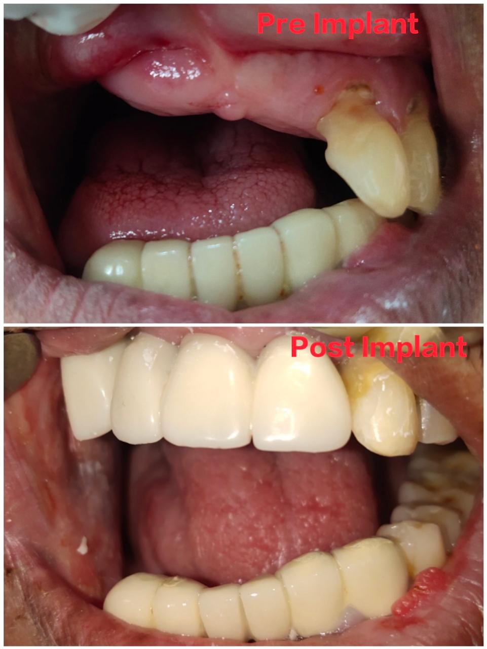
Implants
Crowns and Bridges
Smile Designing
Teeth Whitening
Teeth Cleaning
Fillings and Bondings
Laminates
Orthodontic Treatment
Ent Services
ENT Surgeries
Sinus Allergy
Thyroid Disease
Snoring & Sleep Apnoea
Skull Base
Oral Cancer
Rhinoplasty
Gallery
Blog
Blog
Blog Details
Contact Us
Book Appointment
Book Appointment
Portfolio
Home
Portfolio
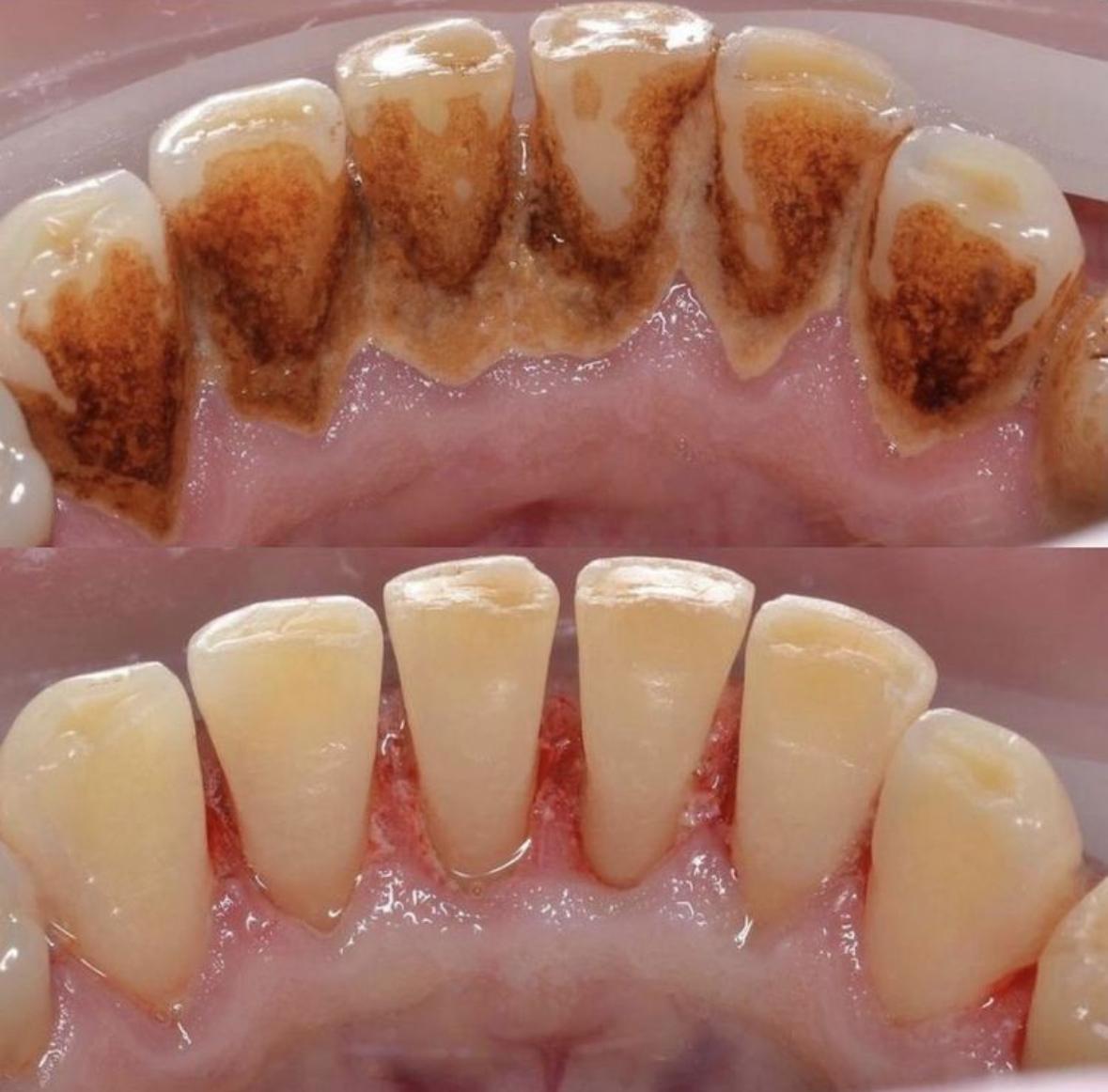
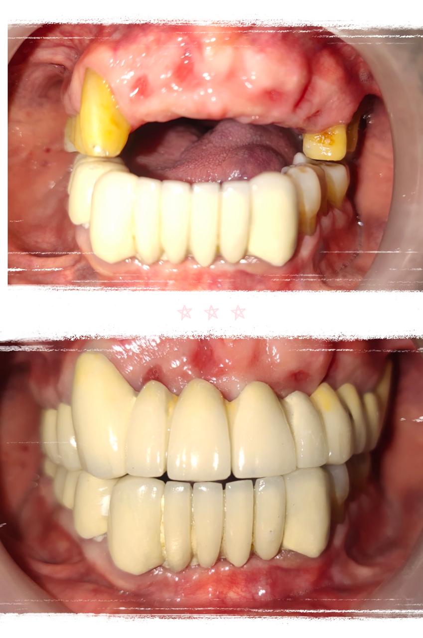
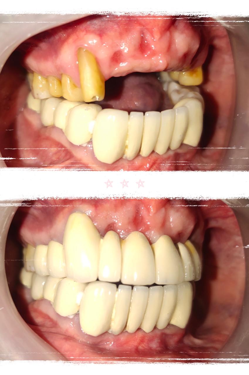
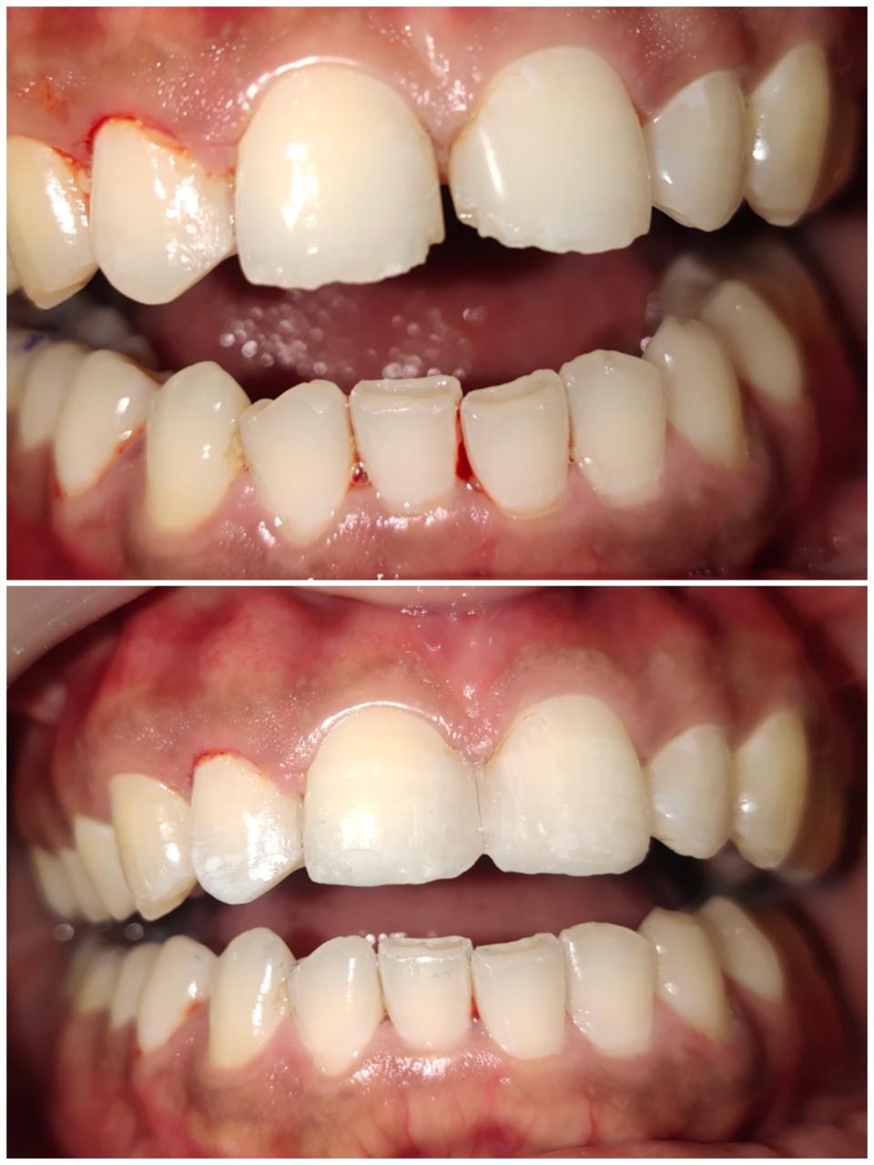
Our Portfolio
All The Great Works That We Done
01
02
03
04
05